Avanço contra Câncer de Cabeça e Pescoço com Imunoterapia
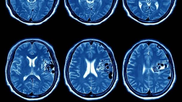
Um Marco na Oncologia Um ensaio clínico global revelou que o pembrolizumabe, um medicamento imunoterápico, mantém o câncer de cabeça… Leia mais
Leia maisUm Marco na Oncologia Um ensaio clínico global revelou que o pembrolizumabe, um medicamento imunoterápico, mantém o câncer de cabeça… Leia mais
Leia maisPesquisadores observam redução de tumores ao combinar medicamento com imunoterapia
Leia mais